近日,心血管内科(西咸)介入团队妙手逆行搭“心桥”,通过逆向及Reverse-CART技术,成功为一名右冠状动脉完全闭塞的患者开通血管。
该名患者长期饱受“气短”困扰,多次就诊各类医院治疗,病情未见任何好转,慕名就诊于西咸院区心内科。门诊接诊后办理入院,主管医师赵凯博士查看患者情况,结合体征、血液生化指标和影像学检查结果,诊断为慢性心功能不全急性加重、冠状动脉粥样硬化性心脏病、缺血性心肌病。刘新宏主任医师了解病情后,建议行冠状动脉造影明确病因。科室朱舜明副主任医师为核心的介入手术团队评估,建议其完善冠脉造影检查明确病因,考虑心脏彩色多普勒超声示:LVEF35%,可能随时出现心血管意外事件,药物治疗病情仍反复发作作用不佳,病情有进展风险,系统评估后择期行多根导管冠脉造影术。
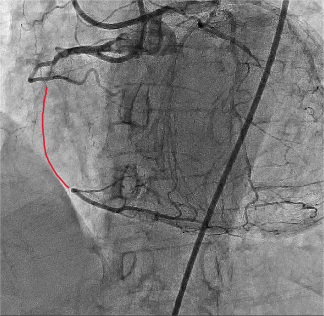
4月19日,手术团队对该患者开展冠状动脉造影检查。造影结果提示:右冠状动脉中段闭塞病变,前后降和回旋支开口狭窄50%,前降支动脉通过新生血管向右冠状动脉形成侧枝血供。朱舜明副主任医师向患者和家属告知病情严重性,为保证手术安全,建议其择期行逆向冠脉病变治疗术或保守治疗。两难抉择下,患者家属仍考虑择期采用新技术开通闭塞血管。手术团队再次分析患者病情并制定详细方案:拟择期采用Reverse-CART通过前降支侧枝血管逆行开通闭塞右冠状动脉。
4月24日,朱舜明副主任医师为患者制定周密的手术方案和风险处理方案,朱舜明副主任医师、唐治国主治医师、张翔主治医师、张豪住院医师开展持续3小时的介入手术。术中穿刺桡动脉和股动脉,双路径同时造影显示病变血管完整结构,开展Reverse-CART技术,将逆向导丝送入正向指引导管,跟进微导管,交换导丝后用球囊扩张病变,沿逆向导丝送入双腔微导管至闭塞血管远端,沿双腔微导管送入正向工作导丝至右冠后降支,并退出逆向微导管和导丝,采用血管内超声精细评估病变情况,最终向右冠状动脉内植入3枚支架。术后多体位造影未见残余狭窄及贴壁不良,完美结束手术。
本例病变的成功开通,标志着西咸院区心内科对慢性闭塞性冠脉病变治疗更加成熟,再次验证了心血管内科介入团队实力,规范了慢性闭塞性病变完整的诊治流程,对人才培养有重要作用。今后,心血管内科(西咸)将不断提高科室诊疗水平,加快专科建设,在今后工作中力争创下更多“首次”的突破,为建设“强专科”院区和患者健康贡献更大的力量。

图1 股动脉和桡动脉双路径造影提示:右冠状动脉中段闭塞病变,红色线条:闭塞血管段。

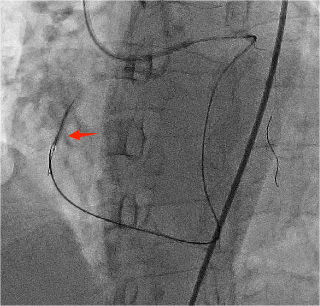
图2 Reverse-CART技术逆行导丝通过右冠病变血管,红色箭头:病变部位

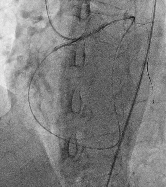
图3 交换RG3导丝沿逆行血管路径通过病变部位

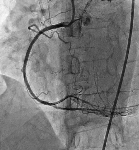
图4 造影提示血流恢复