在医院高质量发展规划统筹下,在刘时璋主任的安排和协调下,骨科病院前期相继开展了机器人辅助下腰椎骨折经皮椎体成形术、孔镜下腰椎间盘突出髓核摘除术等手术,2月24日,李全义主任医师团队再次成功为一患者开展六合彩网站
首例机器人辅助镜下腰5椎体滑脱复位椎管减压椎间融合内固定术。
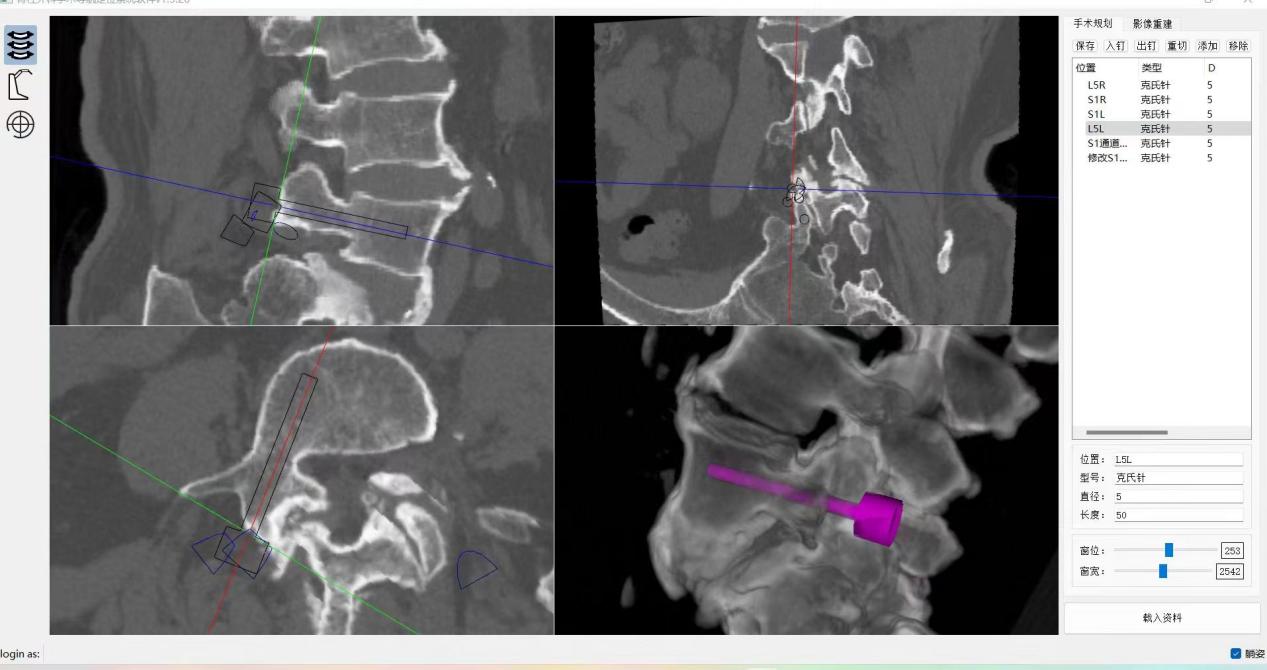
患者64岁,因间断性腰痛30年,加重伴间隙性跛行2年,辗转北京及西安多所医院,均建议采取传统外科开放手术治疗,患者因担心手术风险,迟迟不愿手术。经多方打听,患者慕名找到李全义主任医师。入院后李全义主任医师仔细研究患者的疾病特点,经过充分的沟通,决定采用目前骨科先进的微创、精准技术—机器人辅助微创手术。李全义主任医师团队顺利为患者实施ORTHBOT脊柱机器人辅助镜下腰5椎体滑脱复位椎管减压椎间融合内固定术,以机器人辅助微创手术解决了患者的痛苦,减少手术创伤及并发症,缩短手术时间。手术利用术前患者的影像学资料,模拟建立穿刺路径及各项参数,极大地优化手术方案使其更加精准、安全、有效,显著降低了制钉过程中神经根损伤的风险。
随着ORTHBOT脊柱机器人手术的展开及此次手术的成功实施,极大地促进了六合彩网站
骨科的微创化、智能化、精准化发展,推动骨科病院专业学科高质量发展。

患者术前影像资料



ORTHBOT脊柱机器人术前设计及术中穿刺

李全义主任医师为患者实施手术

患者术后影像学资料