近日,神经外科在术中神经电生理监测技术下成功实施六合彩网站
首例颅内功能区多发肿瘤切除术,患者满意。
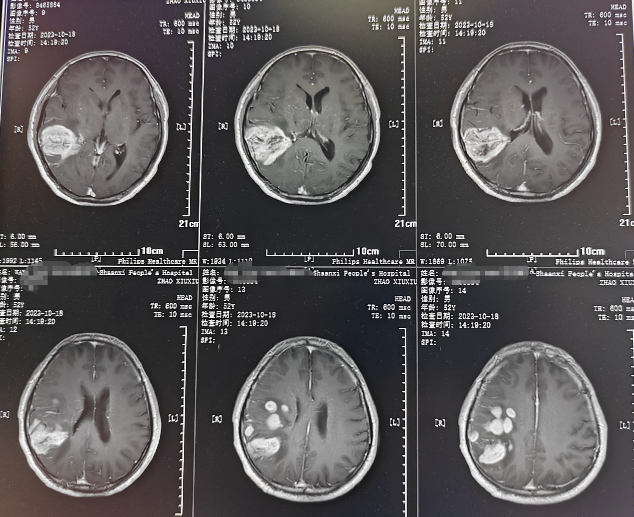
患者为成年男性,因头痛伴间断晕厥1月,在当地医院检查发现右颞顶叶多发占位病变,考虑胶质瘤。因肿瘤功能区关系密切,术后可能出现肢体运动障碍。如何做到在尽量全切肿瘤同时做好神经功能保护,对于神经外科医生来说是一种挑战。术前全科详细讨论病例制定了手术方案,决定在电生理监测下进行手术,近日由缪星宇主任医师、孟发财副主任医师、刘凯飞主治医师成功为患者实施了手术。术中在电生理运动诱发电位的监测下,结合多模态影像技术,显微镜下全切肿瘤,成功利用电生理监测技术保留运动区结构和功能,术后患者恢复顺利,病理结果确定胶质瘤诊断。
神经电生理监测是神经外科手术中监测神经功能完整性、减少神经损伤、提高手术质量所必不可少的组成部分,也是神经外科手术功能区保护的金标准。该患者采用的术中运动诱发电位监测是神经电生理监测技术之一,通过经电刺激神经或皮层,对照操作前的肌肉复合动作电位波幅和潜伏期基线,可判断神经、传导束的功能变化情况,为手术中实时监测神经功能提供有用的信息,是神经外科手术中常有监测技术之一,广泛用于颅脑和脊髓手术。在诱发电位的监测下,可以早期判断神经的位置和走形,监测神经功能变化,避免神经损伤。
通俗点说,术中神经电生理监测就像安装了GPS,哪里有神经信号传导要避开,哪里可以放心大胆的剥离,只要看到屏幕上跳动的信号,就一目了然。有了这样精准的导航,不仅能够彻底切除肿瘤,还最大程度保护了脑组织和功能。
近年来,六合彩网站
神经外科充分利用现有设备,在颅脑肿瘤、功能神经外科手术和脊柱、脊髓手术中开展神经电生理监测,标志着神经外科全面实现手术精准化、个体化,为患者提供更好的服务。


